오늘은 여드름 흉터 치료에 대해 이야기해보려고 합니다. 여드름 흉터 치료를 이미 시도해 보셨다가 효과가 없어서 포기하신 분들이 많을 텐데요. 여드름 흉터는 제대로 된 치료를 받으면 많이 개선될 수 있습니다. 물론 시간이 필요하고 여러 번의 시술이 필요하지만, 꾸준한 치료로 눈에 띄는 효과를 볼 수 있으니 포기하지 마시고 끝까지 치료를 이어가시길 바랍니다.
[[나의목차]]
여드름 흉터의 종류


여드름 흉터는 크게 세 가지로 분류할 수 있습니다. 첫 번째는 편평한 흉터이며, 두 번째는 튀어나온 흉터, 그리고 세 번째는 패인 흉터입니다. 각 흉터의 종류에 따라 적합한 치료 방법이 달라지므로, 자신의 흉터 종류를 파악하는 것이 중요합니다.
1. 편평한 흉터

편평한 흉터는 붉은 흉터와 갈색 흉터로 나눌 수 있습니다. 이는 여드름 염증이 가라앉은 후에도 남아 있는 색소 침착과 혈관 확장으로 인해 발생합니다.
2. 튀어나온 흉터


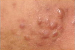
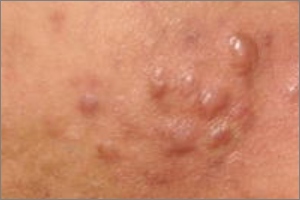
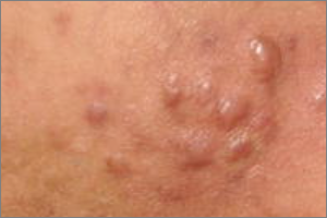
튀어나온 흉터는 여드름 염증이 심할 때 피부가 과도하게 재생되어 피부 표면이 돌출되는 형태의 흉터입니다.
3. 패인 흉터


패인 흉터는 여드름 염증이 피부 깊숙이 손상시키면서 발생하는 흉터로, 피부가 움푹 파인 형태로 나타납니다. 이는 여드름 흉터 중에서도 가장 치료가 어려운 형태로 꼽힙니다.
편평한 흉터 치료 방법






편평한 흉터는 붉은 흉터와 갈색 흉터로 나눠지며, 각기 다른 치료 방법이 필요합니다.
1. 붉은 흉터
붉은 흉터는 염증 부위에 혈관이 자라 들어와 생기며, 손으로 여드름을 짜는 등 자극이 가해지면 더욱 심해집니다. 이 붉은 흉터는 시간이 지나면 자연스럽게 흐려지기도 하지만, 그렇지 않은 경우도 많습니다. 붉은 흉터가 남아 있으면 여드름이 다 나았음에도 불구하고 여드름이 있는 것처럼 보일 수 있습니다. 이를 치료하기 위해서는 혈관 레이저인 V-beam, IPL 롱펄스 엔디야그 등의 레이저를 3~5회 시술하는 것이 효과적입니다.
2. 갈색 흉터
갈색 흉터는 염증 후 색소 침착으로 인해 발생하며, 시간이 지나면서 저절로 흐려지기도 하지만, 그렇지 않은 경우에는 레이저 치료가 필요합니다. Q스위치 엔디야그 레이저를 5~10회 반복 시술하면 갈색 흉터를 효과적으로 개선할 수 있습니다. 갈색 흉터의 치료는 비교적 일상생활에 큰 지장을 주지 않기 때문에 부담 없이 진행할 수 있습니다.
튀어나온 흉터 치료 방법



튀어나온 흉터는 여드름 염증 주사를 통해 치료할 수 있습니다. 이 주사는 흉터 부위에 직접 주입되며, 주사 횟수는 환자의 상태에 따라 다릅니다. 사용되는 약물은 스테로이드를 포함하고 있지만, 극히 소량이기 때문에 전신적인 부작용에 대한 걱정은 거의 없습니다. 몇 번의 주사로도 흉터가 눈에 띄게 개선될 수 있습니다.
패인 흉터 치료 방법
패인 흉터는 여러 가지 치료 방법을 복합적으로 사용하는 것이 가장 효과적입니다.
1. 프락셀 레이저
프락셀 레이저는 피부 속에 미세한 열기둥을 형성하여 피부를 자극하고 콜라겐을 생성하도록 유도합니다. 이를 통해 피부가 차오르게 되며, 패인 흉터를 개선할 수 있습니다. 하지만 이 방법은 피부 타입에 따라 부작용의 위험이 있기 때문에 조심스럽게 시술해야 합니다.
2. 미세침 고주파
미세침 고주파는 피부에 미세한 침을 통해 고주파 열을 발생시켜 콜라겐 생성을 촉진하는 방법입니다. 이 시술은 피부 손상이 거의 없어 특별한 부작용이 없으며, 붉은 끼가 이틀 정도 지속될 수 있습니다. 프락셀 레이저와 미세침 고주파는 모공 축소에도 효과가 있지만, 여드름 흉터에도 충분한 효과를 기대할 수 있습니다.
3. 크로스 시술
크로스 시술은 흉터 부위에 살을 깊게 벗겨내는 약물을 발라 일부러 상처를 유도하여 새살이 차오르게 하는 방법입니다. 시술 후 미세한 딱지와 붉은 기가 남을 수 있지만, 메이크업으로 충분히 커버할 수 있는 정도입니다.
4. CO2 레이저
CO2 레이저는 패인 흉터의 가장자리를 살짝 깎아내어 흉터가 덜 보이도록 하는 시술입니다. 이는 흉터를 부드럽게 만들어 시각적으로 덜 도드라지게 하는 데 효과적입니다.
5. 서브시전 시술
서브시전은 흉터 조직을 끊어내어 피부가 다시 차오를 수 있도록 하는 시술입니다. 바늘을 사용하거나 공기, 물, 필러 등을 주입하여 흉터를 개선하는 방식입니다.
6. 히알루론산 필러
패인 흉터 부위에 히알루론산 필러를 주입하여 볼륨을 채우는 방법입니다. 필러는 즉각적인 볼륨감을 주어 흉터를 덜 눈에 띄게 합니다.
7. 자가혈 재생술
자가혈 재생술은 환자 본인의 혈액을 뽑아 재생 효과가 뛰어난 성분을 추출하여 흉터 부위에 주입하는 방식입니다. 이 시술은 레이저 치료와 병행하여 사용하면 효과를 극대화할 수 있습니다.
8. 기타 치료법
그 외에도 토로이달 RF 리프팅, 녹는 실 삽입, 스컬트라나 에스티필 같은 콜라겐 형성제를 사용한 시술이 있습니다. 이러한 치료들은 피부 깊숙이 작용하여 흉터를 개선하는 데 도움을 주며, 일상생활에 큰 지장을 주지 않는다는 장점이 있습니다.
흉터 치료의 중요한 포인트
흉터 치료를 받을 때 중요한 점은 초반에 눈에 띄는 효과가 없더라도 포기하지 말고 꾸준히 치료를 이어가는 것입니다. 흉터가 깊을수록 치료 후 최대 6개월에 걸쳐 점차적으로 개선되기 때문에, 초기에는 가시적인 변화가 없을 수 있습니다. 하지만 꾸준한 치료를 통해 서서히 피부가 차오르는 과정을 거치게 됩니다.
여드름 흉터 치료는 장기적인 과정이 필요하므로, 한두 번의 치료로 효과를 보지 못했다고 해서 실망하지 말고, 인내심을 가지고 치료를 계속 받아야 합니다.
결론
여드름 흉터는 올바른 치료법과 꾸준한 노력으로 개선될 수 있습니다. 모든 흉터가 완벽히 사라지는 것은 아니지만, 지속적인 치료로 상당한 호전을 기대할 수 있습니다. 여러분의 피부가 다시 건강하게 회복될 수 있도록 인내심을 가지고 치료에 임해주시기 바랍니다.
함께보면 도움되는 정보
기미 없애는 방법 5가지 추천 (홈케어)
기미는 여성들 사이에서 특히 흔하게 나타나는 색소 침착으로, 미관상 큰 스트레스를 주는 질환입니다. 이 글에서는 기미의 원인, 기미 없애는 방법, 그리고 다양한 치료법에 대해 자세히 알아
c.mischievousmeditative.com
편평사마귀 없애는 방법 추천
얼굴에 있는 좁쌀들 중에서 가장 성가신 것들이 편평사마귀입니다. 편평하고 살색 또는 황갈색을 띠는 편평사마귀는 1~3mm 직경의 타원형이나 둥근 모양으로, 주변 피부보다 살짝 올라와 있습니
c.mischievousmeditative.com
다크서클 없애는법 추천
요즘 “피곤해 보여요”라는 말을 자주 듣고 계신가요? 충분히 휴식을 취했음에도 불구하고 이런 말을 들으면 참 속상하죠. 그 원인은 대부분 다크서클에 있습니다. 다크서클은 피로한 인상을
c.mischievousmeditative.com